أصيب أطباء هنود بالدهشة؛ بعدما تأكدوا من وجود 7 كلغم من الأجسام المعدنية في معدة أحد المرضى!
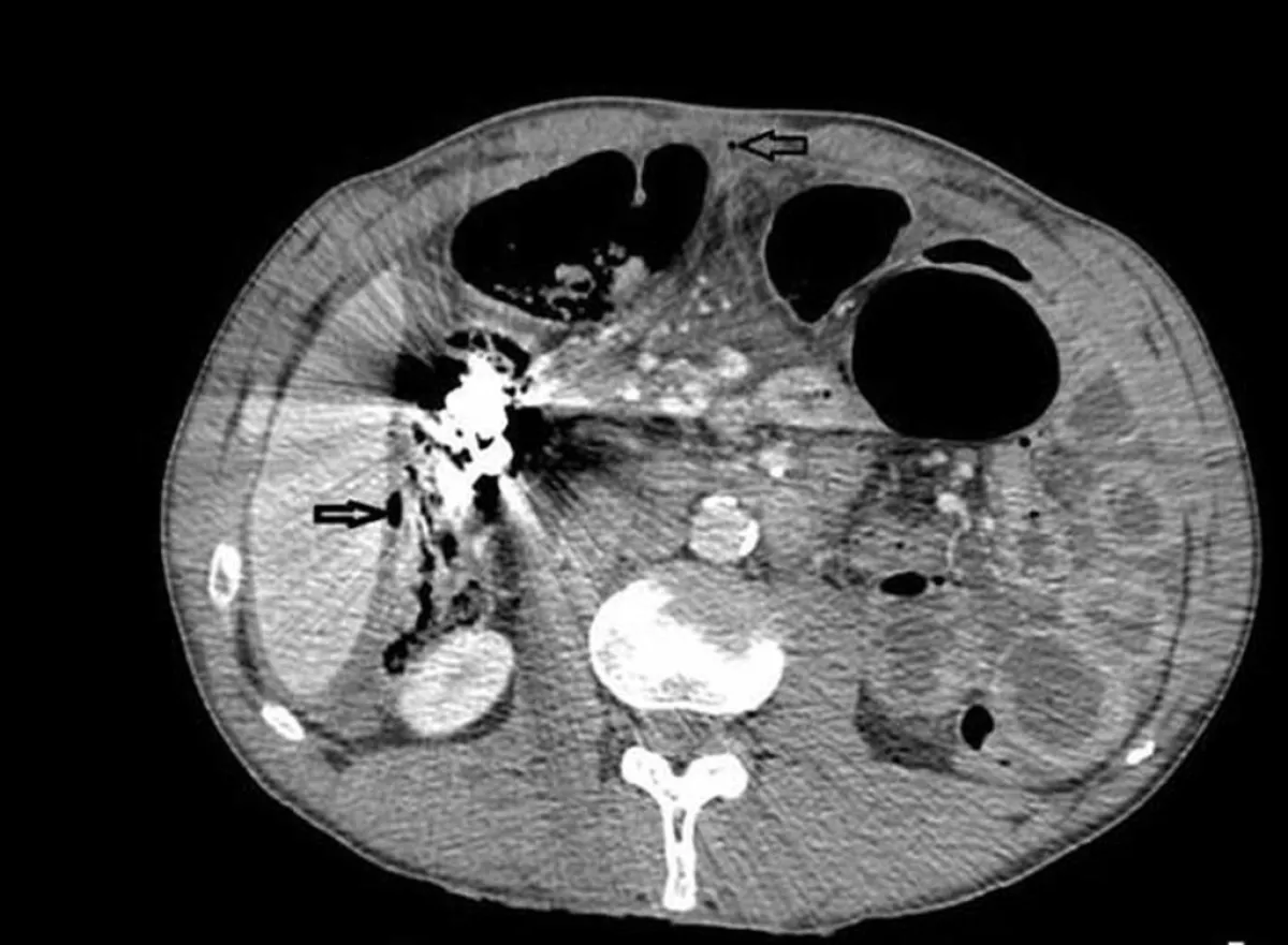
وفي التفاصيل، فقد تمكن جراحون في مستشفى بمدينة «ساتنا» الهندية من إخراج 7 كلغم من الأجسام المعدنية من جسم رجل يُدعى «مقصود خان»، ويبلغ من العمر 35 عامًا، وذلك بعد أن جاء إلى المستشفى شاكيًا من ألم في المعدة.
وقال الطبيب بريانك شارما، وفقًا لـ«روسيا اليوم»، عند إجراء التنظير لمعدة المريض: «صدمنا فعلاً؛ لأننا شاهدنا هناك العديد من النقود المعدنية والمسامير والبراغي والصامولات وغيرها».
وتوقع الطبيب بأن المريض على الأرجح يعاني من اضطرابات عقلية، وذلك بسبب ابتلاعه لهذا العدد من الأدوات المعدنية.
أما أقارب السيد خان، فقد قالوا إنه يعمل سائق عربة نقل ركاب يجرها إنسان، وغالبًا ما يسدد له الركاب أتعابه على شكل نقود معدنية يضعها في فمه توخيًا للسرعة، مما يجعله يبلع بعضها أحيانًا.
وأشار أقارب خان إلى أنه عانى مؤخرًا من الاكتئاب، وربما ابتلع نقودًا وغيرها من الأجسام الحديدية الصغيرة، في محاولة للتخلص من الكآبة والانقباض.
وأكد الأطباء أن الخطر زال عن حياة خان، وأنه وعد الجميع بأنه لن يتناول لاحقًا أي جسم معدني مع الغذاء.
            
                        
                    وفي التفاصيل، فقد تمكن جراحون في مستشفى بمدينة «ساتنا» الهندية من إخراج 7 كلغم من الأجسام المعدنية من جسم رجل يُدعى «مقصود خان»، ويبلغ من العمر 35 عامًا، وذلك بعد أن جاء إلى المستشفى شاكيًا من ألم في المعدة.
وقال الطبيب بريانك شارما، وفقًا لـ«روسيا اليوم»، عند إجراء التنظير لمعدة المريض: «صدمنا فعلاً؛ لأننا شاهدنا هناك العديد من النقود المعدنية والمسامير والبراغي والصامولات وغيرها».
وتوقع الطبيب بأن المريض على الأرجح يعاني من اضطرابات عقلية، وذلك بسبب ابتلاعه لهذا العدد من الأدوات المعدنية.
أما أقارب السيد خان، فقد قالوا إنه يعمل سائق عربة نقل ركاب يجرها إنسان، وغالبًا ما يسدد له الركاب أتعابه على شكل نقود معدنية يضعها في فمه توخيًا للسرعة، مما يجعله يبلع بعضها أحيانًا.
وأشار أقارب خان إلى أنه عانى مؤخرًا من الاكتئاب، وربما ابتلع نقودًا وغيرها من الأجسام الحديدية الصغيرة، في محاولة للتخلص من الكآبة والانقباض.
وأكد الأطباء أن الخطر زال عن حياة خان، وأنه وعد الجميع بأنه لن يتناول لاحقًا أي جسم معدني مع الغذاء.

 
 
                                            

 
             
             
             
             
                         
                         
                         
                         
                
             
                                            




 
                
             
                
             
                
             
                
             
                
             
                
             
                            