لا يوجد أي دليل على أن اللسان المربوط أمراً يمكن أن يرثه الأطفال، وإذا كانت ربطة اللسان لدى طفلك طفيفة فقد لا تؤثر عليه ولكن إذا كانت حالته حادة فقد يكون لسانه ملتحماً تقريباً مع أسفل فمه، و غالباً ما يشعر الأهل بالهلع والخوف حيال ذلك ولكن الحل بسيط.
وللتعرف على هذه الحالة أكثر التقت "سيدتي نت" بالاستشارية في طب الأسرة الدكتورة" شريفة الزهراني" لتعرفنا أكثر على ذلك:
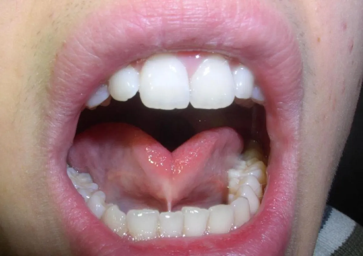
• ما هو اللسان المربوط؟
يولد بعض الأطفال يعانون من " tongue tie" وهو مصطلح يطلق على اللسان عندما يكون طرفه ملتصقاً بباطن أو أرضية الفم عن طريق اللجام اللساني، وهو زائدة لحمية تمتد من طرف اللسان إلى الأسفل حيث تتصل بقاع أو أرضية الفم وهو عيب خلقي قابل للتصحيح والتعديل وليس له أي أسباب أخرى ولا حتى أسباب وراثية.
• ما هي أعراض " اللسان المربوط" التصاق اللسان؟
1. يظهر اللسان على شكل حرف V أو قلب.
2. قد يواجه رضيعك صعوبة في البلع.
3. صعوبة في مد اللسان إلى أبعد من الأسنان الأمامية السفلية.
4. صعوبة في رفع اللسان للأسنان العلوية أو تحريكه من جانب لأخر.
5. صعوبة في الرضاعة لو لاحظتي أن طفلك يعاني من صعوبة في الرضاعة الطبيعية اطلبي من طبيبتك أو ممرضة التوليد فحص طفلك للكشف عن ربطة اللسان بحيث تلاحظ الأم أن الرضيع يجد صعوبة في وضع الثدي في فمه بإحكام و يفلت ثديك أثناء الرضاعة.
6. أما في حال كان طفلك يرضع صناعياً: فعادة ما يعاني الأطفال الذين يرضعون من زجاجة الرضاعة أي "الببرونة" والذين لديهم ربطة اللسان مشكلة في إغلاق فمهم جيداً حول حلمة زجاجة الرضاعة في بعض الأحيان.
• هل يؤثر "اللسان المربوط" على كلام الطفل في المستقبل؟
التصاق اللسان ليس له أي أضرار جانبية ولا يؤثر على كلام الطفل ولا يسبب تأخراً في النطق لدى الأطفال، وليس له أيضاً علاقة بنمو الطفل، وفى حالات نادرة يحدث تأخر بسيط جداً في بعض الحروف ولكن لا توجد أي أسباب حقيقية ملحوظة حتى الآن.
• كيف يتم علاج ربطة اللسان؟
العلاج يكون من خلال فصل اللسان جراحياً عن أسفل الفم بتحرير اللسان المربوط أو الملتصق عن طريق قطع اللجام حتى يتمكن الطفل تحريكه بسهولة، ويتم عمل الجراحة عند اكتشاف الالتصاق، ولا يوجد أي أضرار، حيث يتم القيام بهذا الإجراء سريعا وقد يكون هناك شعوراً بالانزعاج قليلا بسبب وجود عدد قليل من النهايات العصبية أو الأوعية الدموية في لجام اللسان.
1. بالنسبة للأطفال الصغار غالبا ما يتم القص بعد تخدير هذه المنطقة، ولا ينبغي أن يسبب ذلك أي ألم لطفلك. في حال كان طفلك صغيراً جداً قد ينام حتى أثناء هذه العملية.
2. أما إذا كان طفلك أكبر فقد يحتاج إلى تخدير عام ويمكن أن تكون العملية أكثر تعقيداً.
• من الممكن وفي حالات نادرة جداً حدوث مضاعفات الاستئصال منها:
1. حدوث ضرر في اللسان أو الغدد اللعابية.
2. من الممكن أيضاً أن يلتصق اللجام بقاعدة اللسان مرة أخرى.






