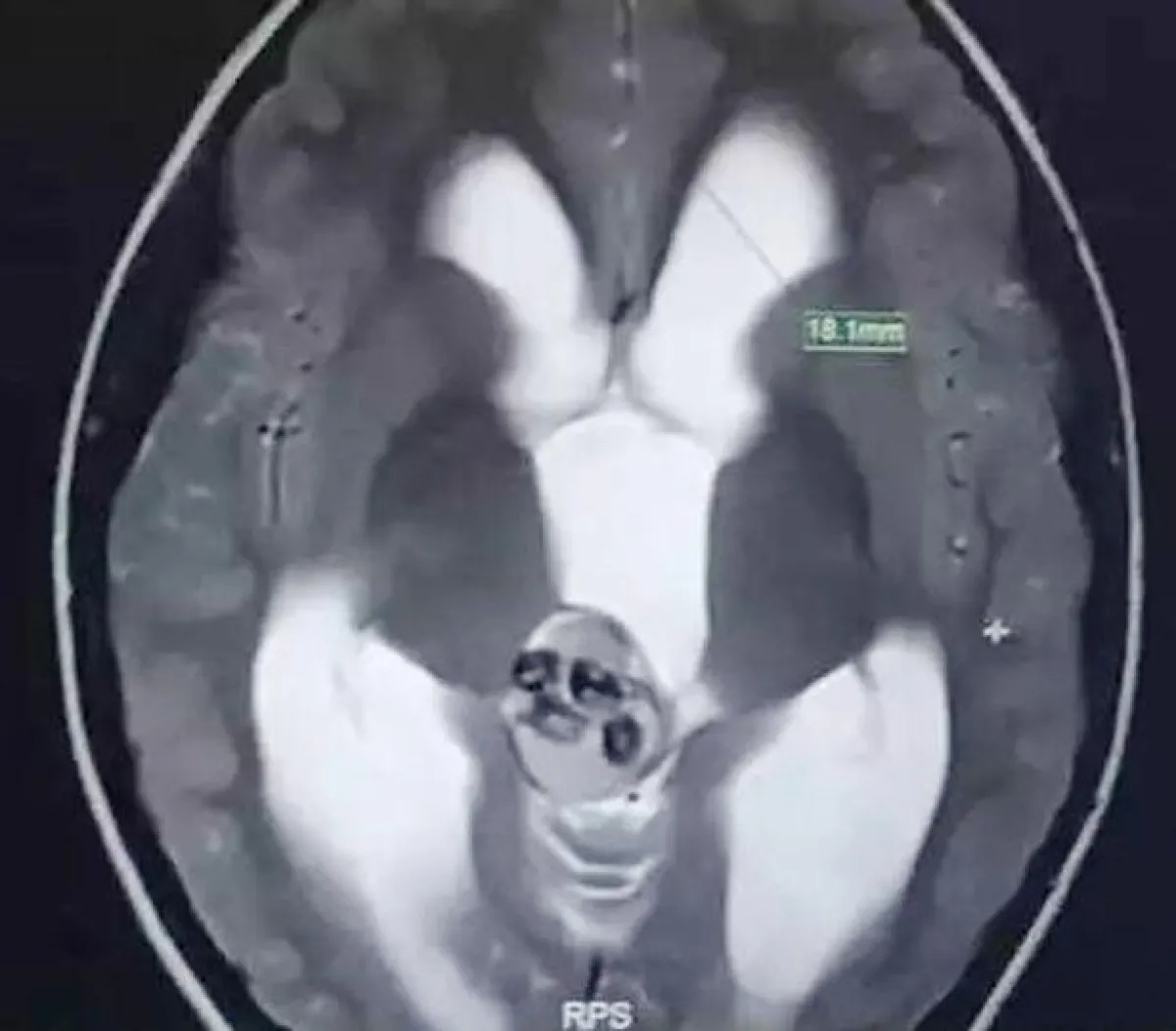
في واقعة طبية غريبة، عثر أطباء بمستشفى الأطفال في جامعة تشجيانغ، شرق الصين على حوالي 9 أسنان، داخل دماغ طفل عمره 5 سنوات.
وأجرى الطبيب «شن زهيبنغ»، من الجامعة الطبية الصينية عملية جراحية معقدة للطفل، استمرت 6 ساعات، ونجح في إزالة الأسنان.
وأشار الطبيب إلى أن حالة الطفل الغريبة، ناتجة من ورم نادر، لم يتم اكتشافه منذ ولادته، موضحًا أن ذلك الورم أدى لتشكيل هياكل عظمية من الأسنان داخل دماغه. بحسب صحيفة «ميرور»
وأوضح أن الطفل كان يعاني من إغماء وصداع وتقيؤ مستمر، داعيًا الآباء لضرورة فحص أدمغة أطفالهم لعلاجها مبكرًا من الأورام، إذا لاحظوا وجود مثل هذه الأعراض.





