مع دخول فصل الشتاء وانخفاض درجات الحرارة يميل الكثيرون إلى الجلوس تحت اللحاف، لكن دراسة جديدة سلطت الضوء على المخاطر التي يمكن أن تسببها الألحفة لبعض الناس - خاصة عندما تكون مليئة بالريش.
وبحسب موقع «ميرور» كشفت دراسة حالة، أن رجلاً في أبردين بأسكتلندا عانى من التهاب رئوي حاد بسبب رد فعل نادر على لحافه، والمعروف على نطاق واسع باسم «رئة لحاف الريش».
تمت إحالة الرجل الذي لم يكشف عن اسمه، البالغ من العمر 43 عاماً، إلى اختصاصيين في الجهاز التنفسي بعد أن عانى من التعب والإرهاق لمدة ثلاثة أشهر، حتى عند أداء أبسط الأنشطة.
في تقرير الحالة، قال الرجل: «بعد مرور شهرين على ظهور الأعراض، لم أتمكن من الوقوف أو المشي لأكثر من بضع دقائق في وقت واحد دون الشعور، وكأنني سأموت... كان الذهاب إلى الطابق العلوي للنوم يستغرق مدة 30 دقيقة، حيث إنه لا بد بعد كل درجة سلم عليّ أن أستريح. لقد توقفت عن العمل وأمضيت معظم الوقت في النوم (ليلاً ونهاراً)».
استجوب الاختصاصيون الرجل بشأن أي مسببات محتملة، ووجدوا أنه ربما توجد كمية صغيرة من الفطريات في منزله، لأنه يمتلك قطاً وكلباً، لكن لم يكن أي منهما مسؤولاً.
وبعد المزيد من الأسئلة عن أنشطته ومدى تعرضه للتدخين – سواء قيامه بشرب السجائر أو التدخين السلبي - كشفت الأسئلة أن لحافه ووسادته الريش هما السبب في الحالة التي وصل إليها.
أجسام مضادة للريش
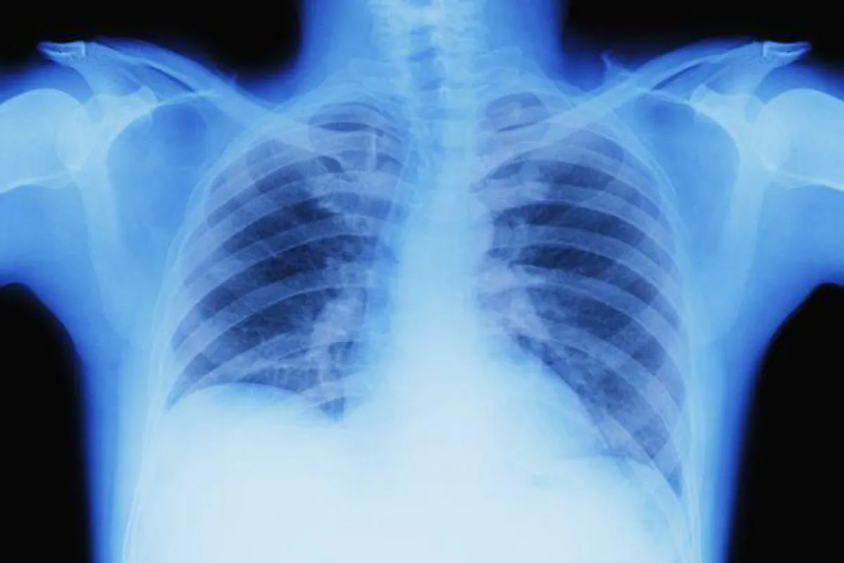
وكشفت اختبارات الدم عن وجود أجسام مضادة لغبار ريش الطيور، في حين أظهرت الأشعة السينية لصدره علامات التهاب رئوي مفرط الحساسية - وهي حالة تصبح فيها الرئتان ملتهبتين بشدة نتيجة للاستجابة المناعية المفرطة في الجسم لأحد مسبباتها.
في حالة هذا الرجل، كان يوجد آثار للغبار العضوي من ريش الطيور في لحافه ووسائده.
وبعد التشخيص، تم إعطاء الرجل مجموعة من مضادات الالتهاب واستبدل لحافه المصنوع من الريش إلى آخر صحي، ولحسن الحظ عاد إلى طبيعته في غضون 12 شهراً.
ويأمل الباحثون أن تسلط دراسة الحالة الضوء على مخاطر فرشات الريش بالنسبة لبعض الناس، وتشجيع الأطباء على سؤال المرضى حول فراشهم.
لقد كتبوا: «حالتنا تعزز أهمية السؤال عن الفراش المنزلي في المرضى الذين يعانون من ضيق التنفس غير المبرر».
«إن التعرف الفوري والتوقف عن التعرض للمسبب قد يمنع تطور التليف الرئوي الذي لا رجعة فيه».





