ترتبط السكتة الدماغية والنوبة القلبية بعدة أسباب وعوامل تؤدي الى حدوثها ، ومنها عوامل الضغط النفسي والتوتر، والتدخين والسمنة المفرطة، وغيرها، ولكن دراسة حديثة كشفت عن وجود عوامل أخرى لم نكن نتوقعها.
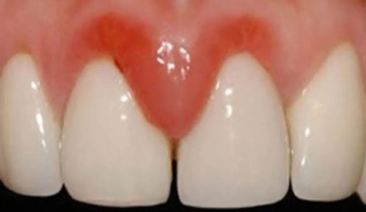
وتوصلت دراسة أجرتها مؤخرا كلية هارفارد لطب الأسنان ببوسطن إلى ن الأشخاص الذين يعانون من التهاب اللثة أكثر عرضة للإصابة بالنوبات القلبية والسكتات الدماغية.
ونقل موقع "ميديكال نيوز تودي" الطبي عن توماس فان ديك، قائد فريق البحث بالدراسة التي أجرتها كلية هارفارد لطب الأسنان ومعهد فورسيث بكامبردجنقوله "إذا كنت مصابًا بأمراض القلب والأوعية الدموية، فلا تتجاهل التهاب اللثة، لأنه قد يصبح أكثر خطورة وعرضة للنوبات القلبية".
وبينت الدراسة أن الأشخاص الذين ظهر لديهم التهاب نشط في اللثة ببداية الدراسة أكثر عرضة للإصابة بأمراض القلب والأوعية الدموية والسكتات الدماغية.
وعادة ما ترتبط الإصابة بأمراض اللثة والقلب بعدة عوامل مثل التدخين وارتفاع ضغط الدم والسكري وارتفاع نسبة الدهون في الدم.
وأرجع الباحثون السبب إلى أن البكتيريا التي تظهر في التهاب اللثة تنتقل عبر الدم في الجسم، وتؤدي إلى حدوث التهابات في الأوعية الدموية للقلب، وظهور عدوى في صمامات القلب أيضًا.. وهو ما يؤدي إلى حدوث السكتات الدماغية والنوبات القلبية المفاجئة .

 
 
                                            

 
             
             
                         
                         
                
             
                                            




 
                
             
                
             
                
             
                
             
                
             
                
             
                            