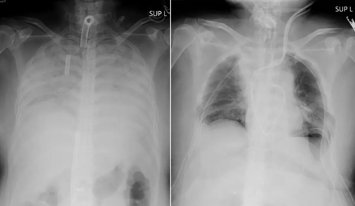
في أول عملية زرع أنسجة رئوية في العالم أجرى أطباء في اليابان عملية زراعة رئة من متبرعين أحياء، لمريضة تعاني من تلف رئوي شديد بسبب إصابته بفيروس كورونا.
وقال الأطباء، الذين أجروا العملية ، إن امرأة يابانية أنقذت حياة امرأة من خلال عملية استغرقت 11 ساعة ونفذها فريق طبي مكون من 30 شخصًا بعد أن تبرع زوجها وابنها بأجزاء من رئتيهما.
وأوضح مستشفى جامعة كيوتو أن المستفيدة التي تم تحديدها فقط على أنها امرأة من منطقة كانساي بغرب اليابان تتعافى إلى جانب أفراد أسرتها المتبرعين.
وقام الأطباء بزرع ، أنسجة من رئتي زوجها وابنها السليمتين لاستبدال أجزاء من رئتي المريض الفاشلتين ، ففي حالة الزراعة من متبرع حي ، يلزم وجود متبرعين اثنين.
ويمكن أن يسبب Covid-19 تلفًا حادًا في الرئة لدى بعض المرضى، كما حدث مع هذه المريضة وقد خضع الناس في جميع أنحاء العالم لعمليات زرع الرئة كجزء من تعافيهم.
لكن مستشفى كيوتو قال إنها نجحت في أول عملية زرع أنسجة رئوية في العالم من متبرعين أحياء لمريض كوفيد 19 مصاب بتلف في الرئة.
وقال الدكتور هيروشي ديت، جراح الصدر الذي قاد العملية إن العملية أعطت بصيص أمل للمرضى الذين يعانون من تلف حاد في الرئة.
وأضاف في مؤتمر صحفي: "أظهرنا أن لدينا الآن خيار زراعة الرئة (من متبرعين أحياء)".





