عقب تعرضه لقطع إصبعه الإبهام، إثر هجوم شرس من أحد الثيران.. جراحون أستراليون يزرعون لمواطن يعمل في تربية المواشي، إصبع قدمه مكان إبهامه، بعملية جراحية نادرة وغريبة.
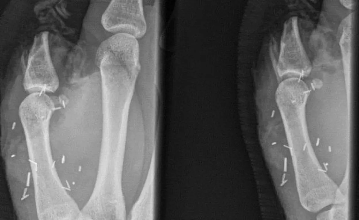
وكان الشاب زاك ميتشل قد أُصيب أثناء عمله في مزرعة نائية غربي أستراليا، عقب هجوم شرس من أحد الثيران عليه؛ مما تسبب له بقطع إصبعه الإبهام، بعد أن قام الثور بركل يد ميتشل في السور، وخضع الشاب الأسترالي قبل هذه العملية الغريبة، إلى عمليتين جراحيتين لم تنجحا في إعادة إلصاق إصبع الإبهام لديه؛ مما اضطر الأطباء إلى اللجوء لنقل إصبع قدمه الكبير ووضعه مكان الإبهام، في جراحة استغرقت قرابة ثماني الساعات، ورغم رفض الشاب في بداية الأمر لإجراء هذه العملية، إلا أنه وافق على إجرائها بمستشفى العيون في مدينة سيدني.
وأوضح كبير جراحي التجميل، الدكتور شين نيكلين، أنه لم يفاجأ بالوقت الذي استغرقه ميتشل ليقبل فكرة إجراء العملية؛ مؤكدًا أنها فكرة مجنونة إلى حد ما، على حسب وصفه، وأن المرضى عادة لا يريدون أن تكون هناك إصابة في جزء آخر من جسمهم، لكن لا يمكن للشخص أن يستغني عن إصبع الإبهام؛ فلا ضير إذاً بالاستغناء عن إصبع القدم الكبير في سبيل ذلك.
وقالت مستشفى العيون في سيدني، إنه من النادر زراعة إصبع قدم كامل كما في حالة ميتشل، لكن من الشائع إجراء جراحات لزرع أجزاء من أصابع القدم في أماكن أخرى.
وكان الشاب زاك ميتشل قد أُصيب أثناء عمله في مزرعة نائية غربي أستراليا، عقب هجوم شرس من أحد الثيران عليه؛ مما تسبب له بقطع إصبعه الإبهام، بعد أن قام الثور بركل يد ميتشل في السور، وخضع الشاب الأسترالي قبل هذه العملية الغريبة، إلى عمليتين جراحيتين لم تنجحا في إعادة إلصاق إصبع الإبهام لديه؛ مما اضطر الأطباء إلى اللجوء لنقل إصبع قدمه الكبير ووضعه مكان الإبهام، في جراحة استغرقت قرابة ثماني الساعات، ورغم رفض الشاب في بداية الأمر لإجراء هذه العملية، إلا أنه وافق على إجرائها بمستشفى العيون في مدينة سيدني.
وأوضح كبير جراحي التجميل، الدكتور شين نيكلين، أنه لم يفاجأ بالوقت الذي استغرقه ميتشل ليقبل فكرة إجراء العملية؛ مؤكدًا أنها فكرة مجنونة إلى حد ما، على حسب وصفه، وأن المرضى عادة لا يريدون أن تكون هناك إصابة في جزء آخر من جسمهم، لكن لا يمكن للشخص أن يستغني عن إصبع الإبهام؛ فلا ضير إذاً بالاستغناء عن إصبع القدم الكبير في سبيل ذلك.
وقالت مستشفى العيون في سيدني، إنه من النادر زراعة إصبع قدم كامل كما في حالة ميتشل، لكن من الشائع إجراء جراحات لزرع أجزاء من أصابع القدم في أماكن أخرى.





