خضع رجل فرنسي لعمليات جراحية من أجل إزالة عشرات القطع المعدنية الموجودة في معدته، بما فيها أدوات حادة، بعد بقائها سنوات طويلة في معدته ، وبدأت بإحداث ثقوب ، في جهازه الهضمي.
وقضى الرجل الخمسيني سنوات عدة في ابتلاع الأدوات والقطع المعدنية، بسبب اضطرابه النفسي. ، حيث تجمعت القطع المعدنية معًا داخل جسده، وشكلت كتل تسمى "البازهر" (وهي أجسام غير قابلة للهضم).
قطعة معدنية قد تكشف "مركز هتلر النووي السري"!
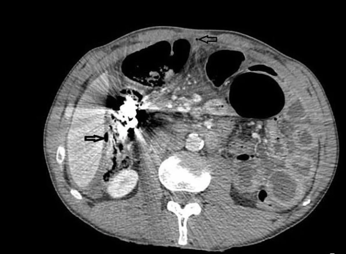
وتم نقل المريض إلى الطوارئ مرات عدة، وخضع لـعمليات على مدى 5 سنوات، لأنه كان يتقيّأ دمًا ويتعرض لألم شديد، نتيجة وجود هذه الكتل في بطنه. وأُجريت له خمس عمليات لإزالة المسامير والسكاكين، والمكسرات، ورأس مفك البراغي، بالإضافة إلى مقابض المعالق والحصى، وأسلاك الحديد والعملات المعدنية، من بطنه.
وعلى الرغم من تلقّي المريض العلاج النفسي، إلا أنه استمر في ابتلاع الأشياء غير الصالحة للأكل على مدى سنوات عدة.
يقطينة عملاقة تزن 400 كيلو غرام
وكان الرجل قد ذهب إلى المستشفى لأول مرة، في مايو 2012، وفقًا لـ"الديلي ميل"، حيث ظهرت لديه علامات انسداد مخرج المعدة، ما دفع الأطباء لإزالة البازهر عبر التنظير.
وبعد 8 أشهر، نُقل المريض إلى المستشفى للسبب نفسه، ثم خضع للجراحة، حيث وجد الأطباء آثارًا للمسامير والسكاكين، والأدوات الحادة الأخرى في بطنه.





