بسبب استنشاقه جوارب حذائه في نهاية كل يوم، أُصيب رجل بعدوى فطرية شديدة في رئتيه، ليتم إدخاله على الفور إلى المستشفى.
وبحسب موقع "ميرور"، اعتاد الرجل الذي لم يذكر اسمه، من تشانجتشو، في جنوب شرق الصين، أن يشم رائحة جوارب حذائه بعد الانتهاء من العمل يومياً، حيث أنه بعد عودته إلى المنزل من العمل كان يغير ملابسه و يرتدي ملابس أخرى أكثر راحة، لكنه كان لديه عادة أن يشم الجوارب التي كان يرتديها طوال اليوم ونتيجة لذلك أصيب بعدوى فطرية انتقلت من حذائه وقدميه المتعرّقة، ونتيجة لاستنشاقه جواربه، انتشرت العدوى الفطرية في رئتيه لأنه كان يتنفس الجراثيم.
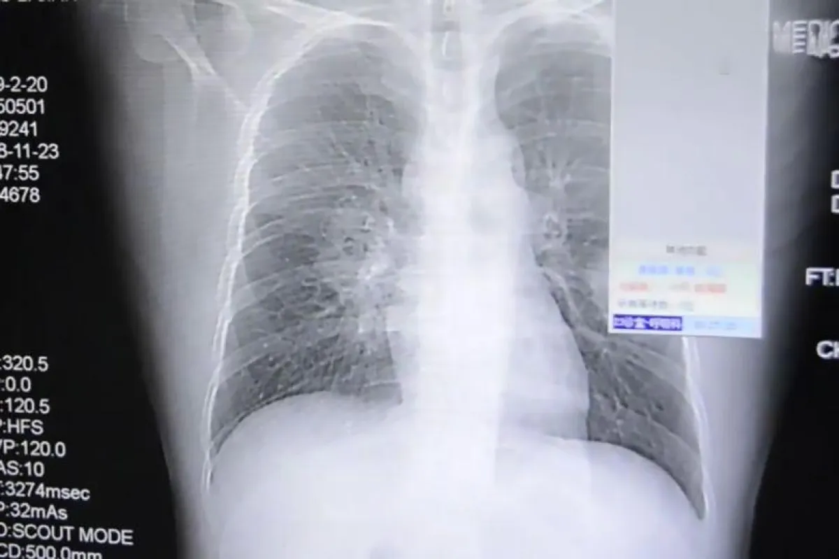
وقد أُدخل الرجل إلى المستشفى بالطوارئ، حيث أكدت الأشعة السينية أنه يعاني من التهاب شديد في الرئة، وأكدت التقارير الطبية أن سبب ذلك هو استنشاقه المتكرر لجواربه الخاصة، وقد أُبقي هذا الرجل في المستشفى للعلاج.





