ارتكب طيار خطأ فادحًا في الإعداد قبل الطيران لعدم ربط حزام الأمان لمغامر بالطائرة الشراعية وتركه يتدلى فوق أحد الجبال.
تظهر اللقطات المرعبة من موقع «ميرور» المغامر «كريس جورسكى» والطيار يركضان وينطلقان من حافة جبلية بارتفاع 4000 قدم، حيث لم يتم ربط حزامه بالطائرة، وأصبح «كريس» يتشبث بعامود الطائرة والطيار لأكثر من دقيقتين، تمسك يده اليسرى بالعارضة المعدنية، بينما يده اليمنى بساق الطيار بقوة، والطيار يناضل للحفاظ على السيطرة والتوجيه من جهة، ومن جهة أخرى على «كريس» وهو يبحث عن مكان لإجراء الهبوط الاضطراري، ثم ينزل في حقل.
كان الهبوط مرة يمر فوق المنازل والأشجار ثم يعود للارتفاع مرة أخرى ثم إلى الوادي مع الجبال وبحيرة زرقاء، في ذلك الوقت استعاد الطيار السيطرة، حيث وقف «كريس» على ساقه والبار، خوفًا من أنه لن يتمكن من الحفاظ على قبضته لفترة أطول.
كان كلاهما يصطدمان بالريح التي كان يبلغ سرعتها حوالي 45 ميلاً في الساعة.
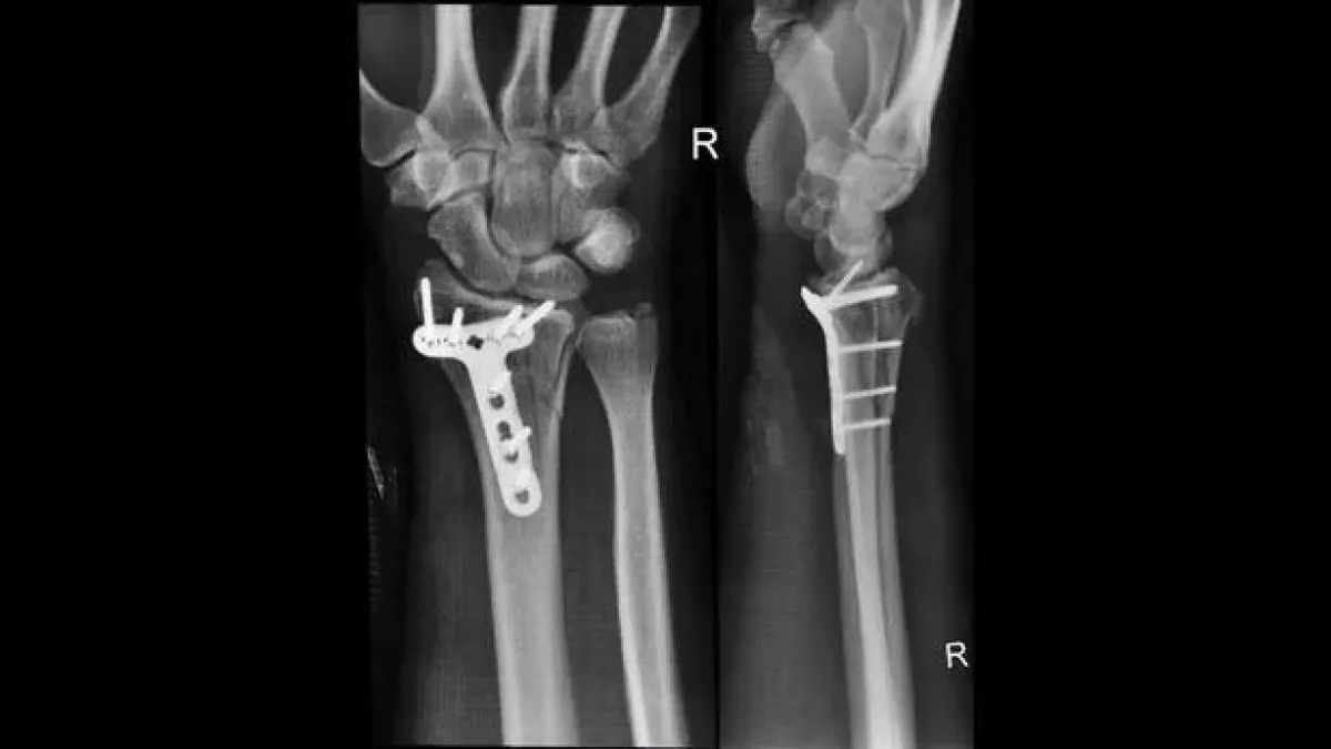
هبط الطيار بأمان في وقت لاحق وتم نقل «كريس» إلى مستشفى محلي، حيث كانت هناك حاجة إلى لوحة من التيتانيوم وسبعة مسامير لإصلاح معصمه المكسور أثناء الجراحة.
«كريس» في تجربته القريبة من الموت في اليوم الأول من رحلته إلى سويسرا، أصيب بكسر في الرسغ وتمزق في عضلة الفخذ، ولكن النتيجة كان يمكن أن تكون أسوأ بكثير.
وعلى الرغم من قربه من الموت وأن هبوطه كان قاسيًا، فإن السائح الأمريكي «كريس»، من فلوريدا، يريد أن ينزلق مرة أخرى، وقال مازحًا إنه سيحاول القفز بعد ذلك.
وعندما عرض الفيديو على يوتيوب الذي يستغرق 2 دقيقة و14 ثانية حصل على أكثر من نصف مليون مشاهدة.





