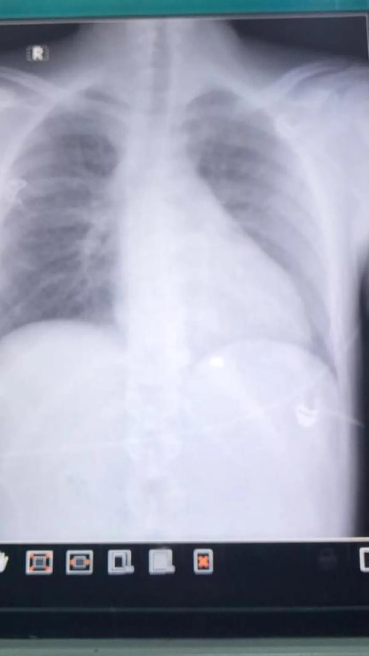
أجرى مستشفى الملك فهد العام بجدة عملية قلب مفتوح عاجلة بالغة الخطورة لمواطن مصاب بطلق ناري في البطين الأيمن للقلب حيث نجح بفضل الله الطاقم الطبي من جراحي القلب والصدر بالمستشفى من إجراء عملية استخراج رصاصة استقرت في البطين الأيمن للمواطن، في ساعة متأخرة من يوم الخميس الماضي.
و في التفاصيل أستقبل قسم الطوارئ بالمستشفى مواطن يبلغ من العمر 17 عاماً حضر بواسطة سيارة اسعاف تابعة لإحدى المستشفيات الخاصة تعرض لطلق ناري في البطين الأيمن للقلب مع وجود نزيف شديد ، وتم التعامل مع الحالة على الفور لدى وصول المصاب لقسم الطوارئ، ونقله مباشرة إلى غرفة العمليات ، وإجراء عملية قلب مفتوح بشكل عاجل واستخراج الرصاصة وسحب التجمع الدموي في غشاء التامور المحيط بالقلب وترقيع جدار البطين الأيمن، وتم وقف النزيف من الصدر بمشاركة الدكتور فواز ألطف والدكتور محمد شفيق جراحين القلب والصدر وتم إنقاذ المريض بفضل من الله، ولا زال المصاب بالعناية المركزة في حالة مستقرة خاضعاً للعناية والمتابعة الطبية اللازمة .





