شعرت فتاةٌ هنديةٌ بألمٍ شديدٍ في معدتها لم تستطع تحمله ، ماجعلها تذهب للمستشفى ، وهناك كانت المفاجأة الصادمة ..
و اكتشف الطبيب المعالج للفتاة 17 عامًا ، أن مشكلتها لم تكن بسبب سوء الهضم ولكن لأنها كانت تحمل توأمها المشوه في بطنها طوال حياتها.
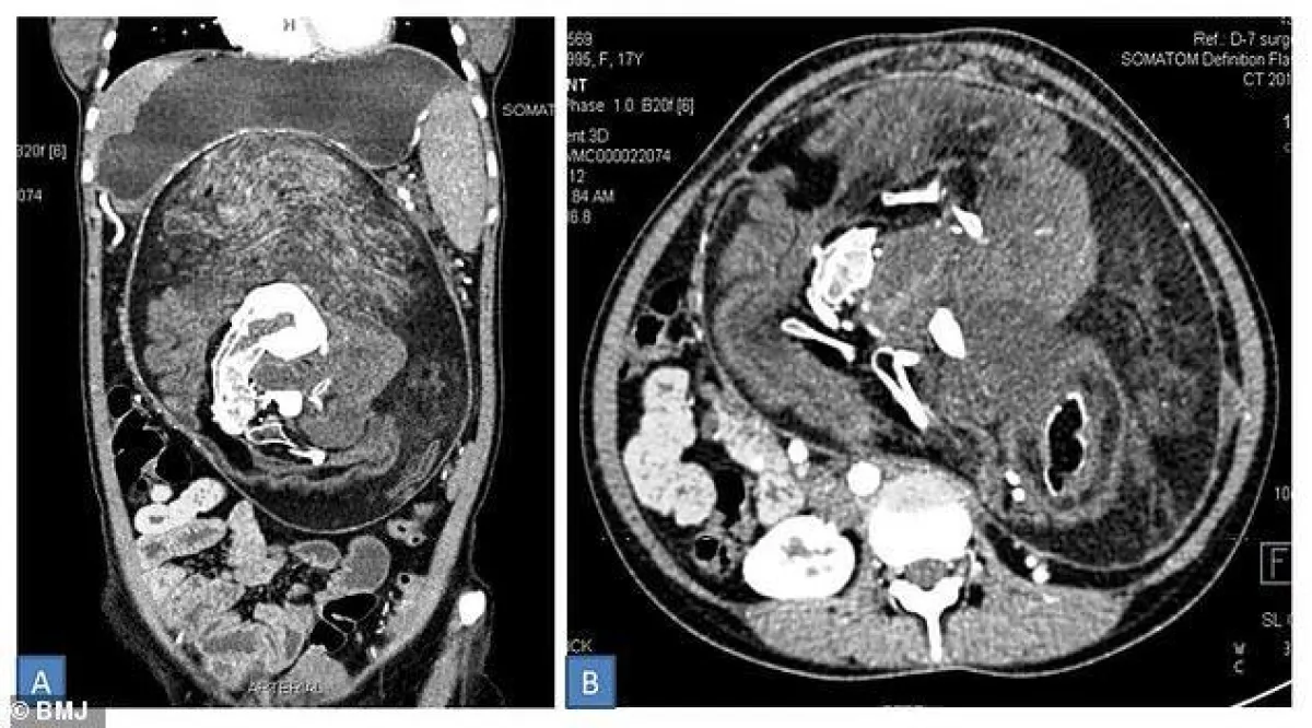
ووفقًا لصحيفة “ديلي ميل” ا فإن الفتاة عانت من حالةٍ نادرةٍ للغاية ، تصيب واحداً من بين 500 ألف مولود حي، حيث كانت أمها حاملاً في توأم ، لكنها كانت تحمل توأمها بداخلها، وقد لاحظت خلال الخمس سنوات الأخيرة كتلةً تزداد في بطنها وكانت تشعر بألمٍ شديدٍ في المعدة.
ويعتقد الأطباء أن الفتاة المجهولة الهوية هي الأولى التي حملت توأمها وتطور جسده في جسمها حتى وصلت لمرحلة البلوغ.
إعدام مجرم بعد مرور 33 سنة على قتله أمًّا وابنتها.. فما سر تأخير عقوبته؟
وتبين من خلال الأشعة التي أجرتها الفتاة وجود مجموعة كاملة من الأنسجة الرخوة ورواسب من الكالسيوم وبعض العظام وشعر وعدة أسنان وقد تمت إزالة الكتلة جراحيا.
وكان التوأم المشوه في جانب من الرحم وقد فشل في التطور وتسمى هذه الظاهرة بـ “جنين في الجنين” وغالبا يتم إجهاضه.
وقالت الفتاة: “كنت قلقةٌ جدًا بشأن بطني ولكن بعد إجراء الجراحة أشعر بأنني بحالةٍ جيدةٍ حيث أصبح بطني مسطحاً وقد تسبب ذلك في سعادة والدي”.





