أصيب أطباء بالدهشة والذهول بعدما عثروا على أكثر من 150 دبوساً منتشرة في جميع أنحاء جسد رجل هندي، دون أن يعرفوا كيف وصلت إلى هناك.
وفي التفاصيل، فإن الرجل الهندي ويدعى «باديرلال مينا»، ويبلغ من العمر56 عاماً، وهو من كوتا شمالي الهند، كان قد راجع المستشفى للمرة الأولى، وهو يشكو من آلام في القدم اليسرى، ووجد الأطباء نحو أكثر من 75 دبوساً مغروسة في مناطق متفرقة من جسده، وفقد نحو 30 كيلوغراماً من وزنه، أثناء محاولته العثور على جراح على استعداد للمخاطرة بإزالة هذه الدبابيس.
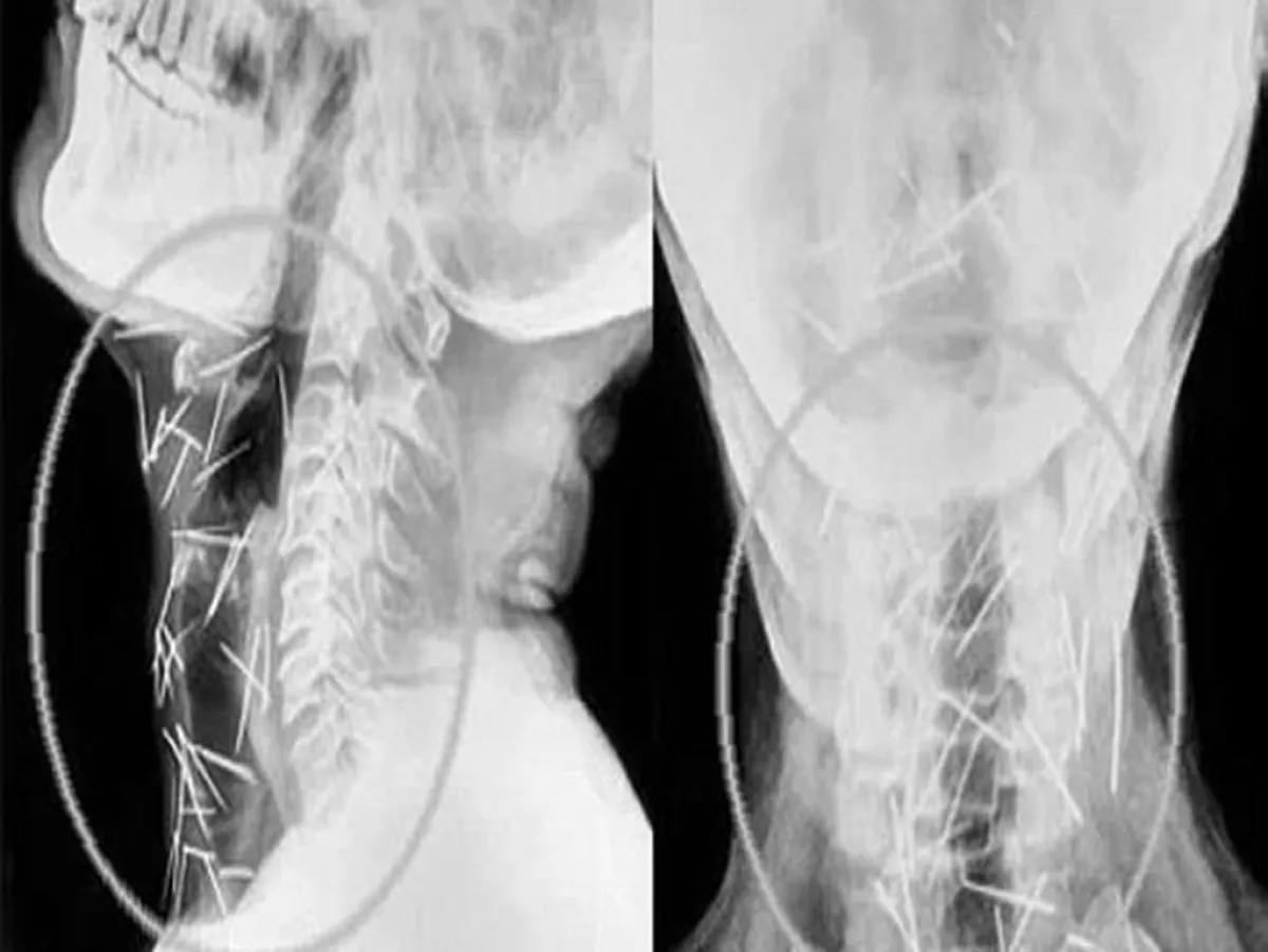
ووفقاً لـ«24»، في نهاية المطاف، قبل المعهد الآسيوي للعلوم الطبية التعامل مع الحالة، وخضع مينا لثلاث عمليات جراحية، لإزالة أكثر من 91 دبوساً من ذراعيه وقدميه وعنقه، البعض منها كان صدئاً للغاية، بعد أن تركت داخل جسده منذ عدة أشهر.
ويصر مينا، على أنه لم يغرس أياً من هذه الدبابيس داخل جسده، ولا يعرف كيف وصلت إليه، في حين يقول الدكتور لاليت موهان بارشار، إن عدم إصابة مينا بأية أضرار دائمة أشبه بالمعجزة.
وأضاف الدكتور بارشار الذي أجرى العمليات الجراحية للمريض، شكل إخراج الدبابيس من جسمه بأمان تحدياً كبيراً بالنسبة لنا، خاصة وأن بعضها كان مغروساً في الرغامى والمريء، وحتى في الشريان السباتي الذي يحمل الأوكسجين إلى الدماغ.
ويقول الأطباء إن مينا الآن بصحة جيدة، ولا يزال يتعافى من آثار العمليات الجراحية المعقدة.





