حذر فريق طبي ، من “تورم السُرة” وعدوه دليلًا على الإصابة بمرض سرطان المبيض ،والذي يعرف بـ”القاتل الصامت”.
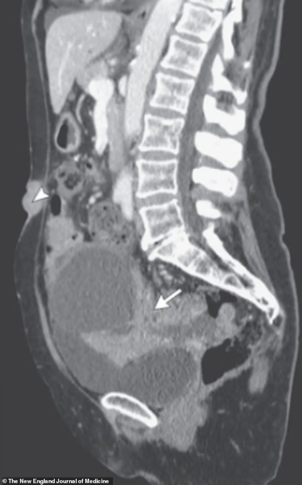
وجاء التحذير الطبي لفريق مستشفى جامعة خيمينيز دياز في مدريد ،بعد تشخيص امرأة تبلغ من العمر 73 عامًا بسرطان المبيض، بعد ظهور تورم في سُرتها على شكل كتلة حمراء صغيرة.
وقال الأطباء في إسبانيا، إن الورم الأحمر يحدث أحيانًا، إلا أنه نادر نسبيًا، ويمكن أن يحدث أيضًا مع الإصابة بسرطان الجهاز الهضمي أو الأمعاء أو البنكرياس.
أورام الأنسجة الضامة الأقل بين أنواع الأورام في السعودية
واوضح الطبيب “خافيير بارامبيو” طبيب الجراحة العامة والجهاز الهضمي، إن المرأة تم شفاؤها بالكامل بعد خضوعها للعلاج الكيميائي والجراحة لإزالة الكتلة.
ويعرف سرطان المبيض باسم “القاتل الصامت”، لأنه يتم تشخيص نحو 80 في المئة من حالاته في المراحل المتقدمة من المرض، وفي وقت التشخيص، يكون بنسبة 60 في المائة من سرطانات المبيض قد انتشرت بالفعل إلى أجزاء أخرى من الجسم، مما يخفض معدل البقاء على قيد الحياة لمدة خمس سنوات.
ويقول “روني درابكين”، الأستاذ المساعد في جامعة بنسلفانيا: “الحوض يشبه الوعاء، لذا فإن الورم هناك يمكن أن ينمو بشكل كبير قبل أن يصبح ملحوظًا بالفعل”، مشيرًا إلى أن أعراضه الأولى تتشابه كثيرًا مع أعراض أمراض الجهاز الهضمي.
