في حالة تُعتبر الأولى والفريدة من نوعها، ظلت سيدة حاملاً في توأمها لمدة 17 عاماً دون أن تعرف حتى مات بداخلها وتحلل أيضاً.
وبحسب موقع «جيز مودو» يقول الأطباء إن امرأة شابة في الهند عاشت مع أحد أكثر الحالات الطبية ندرة والأكثر إثارة للقلق منذ ما يقرب من عقدين.. فوفقًا لتقرير حالة صدر هذا الأسبوع، كان لدى المرأة كيس يحتوى على «توأمها» لا يزال ينمو في بطنها لمدة 17 عامًا. وكان لدى التوأم الشعر والأسنان وحتى العمود الفقري.
وتُعرف هذه الحالة رسميًا باسم الجنين في الجنين، بمعنى أن ذلك يحدث عندما يبتلع أحد الأجنة التوائم للتوأم الآخر في وقت مبكر جدًا من الحمل.. فعندما كانت هذه السيدة جنيناً في بطن أمها ابتلعت توأمها بداخلها ووُلدت به ونما وعاش واستقر بداخلها طوال حياتها.
هناك نظرية أخرى تقول إن «الجنين» الثانى هو في الواقع شكل معقد من الأورام يسمى المسخي بمعنى أنه يمكن لهذه الأورام تطوير أنواع مختلفة من الأنسجة في وقت واحد، بما في ذلك الشعر والأسنان.
وبغض النظر عن كيفية حدوث الحالة، فإنها عادة ما تنتهى بالإجهاض، بسبب عدم توافر تغذية كافية للجنين السليم. ولكن حتى عندما ينجو الجنين، عادة ما يتم اكتشاف الحالة بسرعة بعد الولادة أو في مرحلة الطفولة المبكرة.
قبل هذه الحالة، وفقًا لأطباء النساء، لم يكن هناك سوى سبع حالات أخرى مُبلغ عنها للبالغين المصابين بتوأم جنيني. وحتى الآن، كانوا جميعًا رجالًا.
وبدأت محنة المرأة - المفصلة من قبل أطبائها في تقارير بحالة BMJ - قبل خمس سنوات من زيارتها للطبيب، عندها لاحظت هي وعائلتها أنها كانت مصابة بتصلب شديد حول بطنها. وعلى مدار السنوات الخمس التالية، نما حجم الورم تدريجياً وتسبب في ألم بشكل دوري. بحلول الوقت الذي قامت فيه السيدة التي كانت في ذلك الوقت تبلغ من العمر 17 عامًا بزيارة الأطباء، لم تكن قادرة على تناول الكثير من الطعام، على الأرجح لأن الورم قد بدأ يضغط على أعضائها الداخلية.
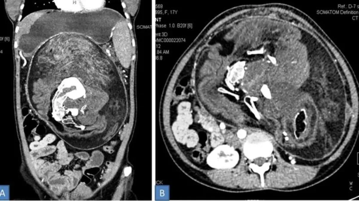
في الفحص المبدئي، كان الأطباء يشتبهون بوجود نوع من الورم، ولكن عندما قاموا بإجراء فحص CAT، وجدوا رواسب من الكالسيوم تبدو «على شكل فقرات وضلوع وعظام طويلة»، وفي النهاية تم اكتشاف الحقيقة ثم قام الأطباء بالعمل على إزالته.
ووفقًا للتقرير، فإن محتويات الورم تتألف من الشعر والعظام الناضجة وأجزاء الجسم الأخرى. وشملت هذه الأجزاء من الجسم «أسنان وهياكل متعددة تشبه براعم الأطراف، كما أن حجمها الهائل - 36 × 16 × 10 سم - يجعله الأكبر على الإطلاق فى حالة جنين البالع لجنين.. ولحسن الحظ، مع انتهاء الجراحة، تعافت المرأة ونالت الشفاء العاجل والهادئ ولا تزال في حالة جيدة.





