غالباً قد يصيب الأشخاص الذين يستعينون بالمراهم الواقية من الشمس عند زياراتهم للشاطئ، بعض الحروق أو حساسية جلدية مفرطة مثلاً. لكن ما حدث مع فتاة صينية أطلقت عليها وسائل الإعلام المحلية اسم شياو مياو، كان أمراً صادماً للغاية، حيث أصابها عارض جانبي ربما هو الأغرب على الإطلاق عندما انتابتها نوبة سعال حادة وطويلة جداً، نُقلت على إثرها إلى المستشفى بأسرع وقت، حيث استغرب الأطباء بسبب ما اكتشفوه من أمر خطير.
ووفقاً لما نشره موقع سكاي نيوز، فإن شياو مياو، البالغة من العمر 20 عاماً وتعيش في مقاطعة تشنغيانغ الواقعة شرق الصين، كانت قد وضعت مرهماً واقياً للشمس، واستخدمت حصيرة قش في محاولة منها كوسيلة لتلطيف الجو من الحرارة المرتفعة، وحينها أصابتها نوبة سعال شديدة ومتواصلة، استدعت نقلها إلى المستشفى على الفور. وهناك، شخّص الأطباء حالتها أنها كانت تعاني من ربو تحسسي شديد.
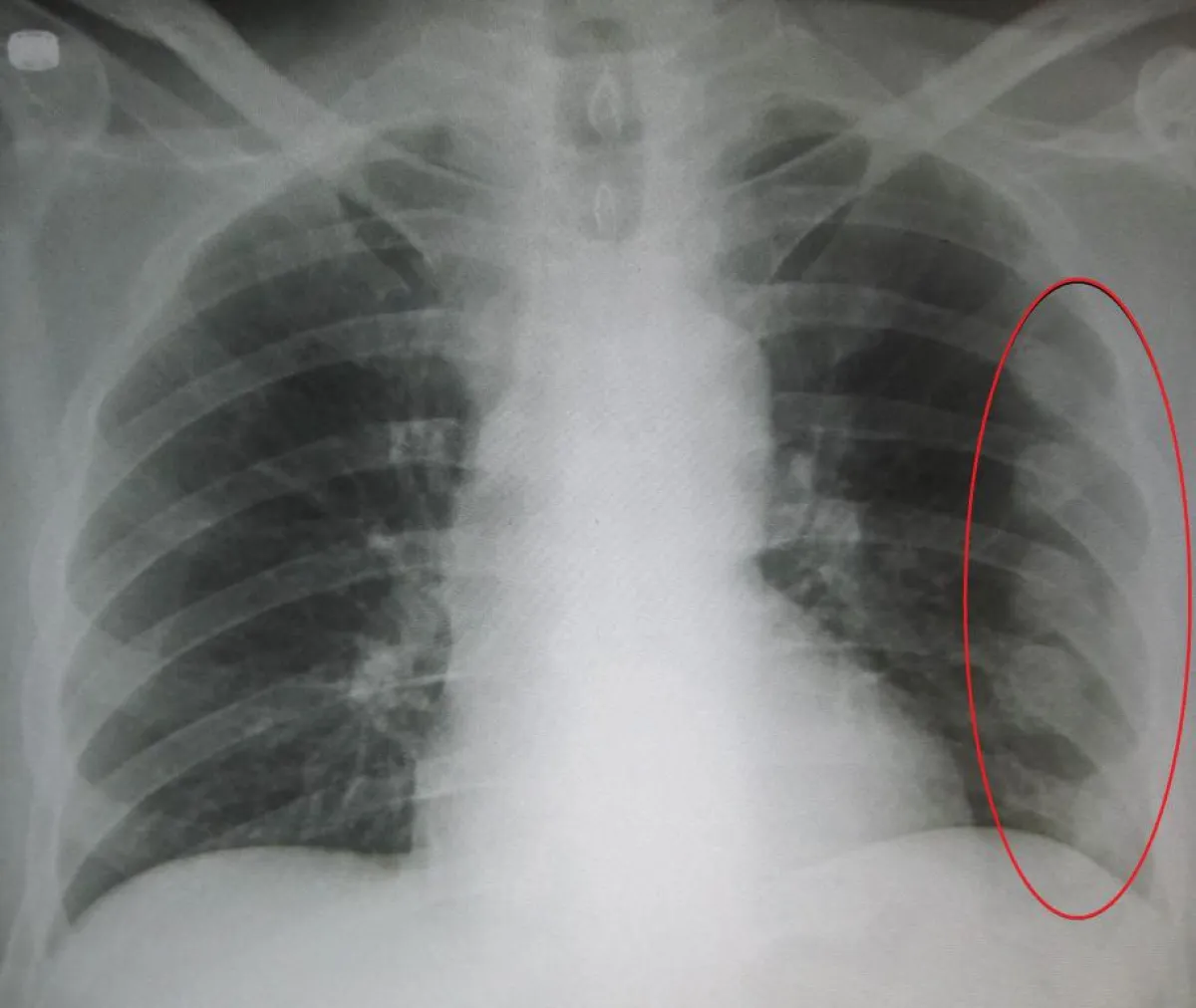
فيما بعد، ومع تواصل سعال الفتاة العشرينية الغريب، أدرك الأطباء أن ما تعانيه كشف عن عارض صحي أكثر خطورة من مجرد نوبة ربو. ومع استمرار سعالها الشديد لأيام أخرى، ومعاناتها من ألم في جانب صدرها الأيسر، وبعد فحوصات مكثفة، اكتشف الأطباء أمراً صادماً للغاية، وهو الألم كان بسبب عدد من الأضلاع المكسورة لديها. والصدمة الأخرى التي أذهلت الأطباء بعد فحوصات جديدة أجريت لها، أن كثافة عظامها كانت أقل بكثير من متوسط ما هو عليه عند النساء الصينيات.
ورغم أن الأمر بدأ بمرهم واقٍ للشمس، إلا أنه كشف عن حالة صحية خطيرة تعاني منها شياو مياو، وهو نقص حاد بفيتامين دي، وانخفاض كبير للغاية مستويات الكالسيوم والفوسفور في دمها. لكن حالة الفتاة العشرينية لم تكن بعيدة عن واقي الشمس الذي استخدمته، حيث اعترفت للأطباء أنها تستخدم نوعاً معيناً منذ عدة سنوات حتى لا تصاب بشرتها بالسُمرة، وأنها تبقى في المنزل معظم أوقات النهار.
وبعد هذا الاعتراف من قبل الفتاة، صرح الطبيب المشرف على علاجها، أن عاداتها التجميلية التي تستعين بها بشكل يومي، هي السبب الرئيسي بكل ما حصل معها، وأنها هي المسؤولة عن تحطم قرابة الـ10 أضلاع في صدرها. موضحاً أن فتيات بعمرها عليهن الحصول على الكمية اللازمة والضرورية من فيتامين دي، وذلك عبر التعرض للشمس لـ20 دقيقة 3 مرات في اليوم على أقل تقدير، وهو ما لم تكن تفعله شياو مياو.





